陕西依科生物技术服务有限公司主要从事病理技术服务、HE染色、石蜡包埋、组织切片、Masson染色等多项实验科研服务,同时公司严格的质控标准、专业的技术人员、成熟的营销网络及完善的售后服务。欢迎有需要的客户来电咨!
咨询热线:13572593771
发布日期:2025/12/11 9:21:00来源:http://www.sxyksw.com/news1081592.html
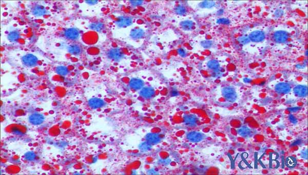
油红O脂肪染色法通常应用于检测组织或细胞内的脂肪情况,油性红O(Oil Red O)是一种脂溶性染料,是很强的脂溶剂和染脂剂,在脂肪内能高度溶解,其染色原理是油红O能特异性地与组织和细胞内的中性甘油三脂、脂质以及脂蛋白产生吸附作用从而使脂肪染色。染料在胞内脂质中的溶解度较溶液更大,当燃料加入组织切片时,燃料从有机溶剂转移而溶于组织内的脂质中,使组织内的脂肪呈红色。该染色方法用于分析细胞样品中脂质状况。
实验操作方法:
(1)冰冻切片厚度 6~10µm,不固定或 10%福尔马林固定 10min后水洗
(2)切片加入60%的异丙醇内浸洗 2min
(3)用蒸馏水稍微清洗一遍
(4)切片加入改良油红 O 染色液中,密闭染色 10~15min,该过程注意避光
(5)用蒸馏水清洗一遍
(6)加入 60%的异丙醇内稍洗以去除染液(大约几秒)
(7)加入冰蒸馏水中稍微清洗一遍
(8)Mayer 苏木素染色液复染核 5min
(9)用蒸馏水清洗一遍
(10)片子用滤纸吸干水分
(11)用甘油明胶封片。
注意事项:
1. 石蜡切片不能用于油红O染色,原因在于石蜡包埋过程中需要脱水,脱水过程中需要乙醇-二甲苯和石蜡,二甲苯是有机溶剂,会把中性脂肪溶解;
2. 冰冻切片准备时,包埋的降温过程建议选择干冰,原因在于若选择液氮降温过程较强烈,可能导致组织内部炸裂,而干冰降温的过程比较缓和,染出来的片子比较好看;
3. 切片的厚度要稍微厚一些,建议选择8-10μm;
4. 实验设计建议设计阴性对照和阳性对照,如阳性对照可以用脂质丰富的肝脏组织等,阴性对照可以根据文献来选择无脂肪沉积的组织。
实验结果展示

咨询热线
13572593771
关注微信公众号
